Egy innovatív megoldásnak számító beavatkozás, a kortiko-bazális implantátumok azonnal megterhelhetőek
Az Ilyés Dental fogászati klinika tulajdonosa, dr. Ilyés Hunor, sok éves tapasztalattal rendelkezik, 2010 óta dolgozik implantológusként, több száz implantátumot helyez be évente, ami biztosítja egy 100%-ban funkcionális fogsor elérését.
Dr. Ilyés Hunor
Mik az előnyök
a kortikobazális fogászati implantátumoknál?
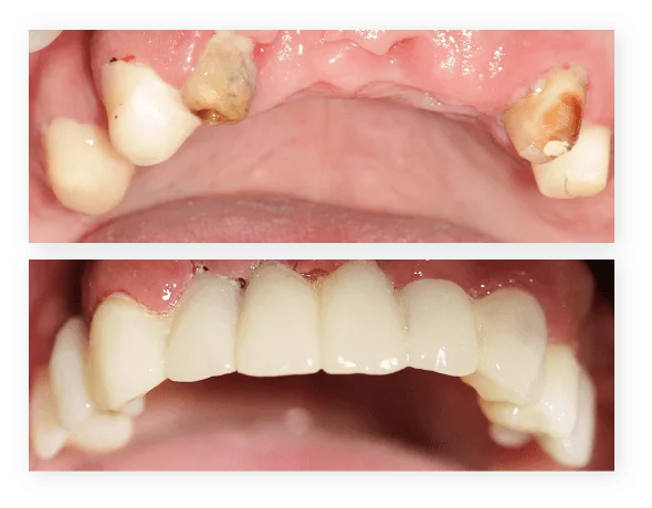
Az implantológiai fogászat legújabb fejlesztése, a kortikobazális implantátumok olyan orvosi eszközök, amelyek lehetővé teszik az implantátum azonnali behelyezését. Az implantátum osszeointegrációja a metszés gyógyulásával egy időben történik – így elkerülhető az íny visszahúzódása és a csont térfogatának változása.
-
Az implantátum egyetlen darabból áll, ellentétben a klasszikus (többrészes) megoldásokkal
-
Minimálisan invazív beillesztés
-
„Kulcslyuk” technika – a bemetszés kevesebb mint 2 mm
-
Azonnali feltöltés a legtöbb esetben, ideiglenes munkálatok nélkül
-
Összetett esetekben is alkalmazható
-
Gyakran csak egyetlen, minimálisan invazív beavatkozást igényel
-
Kevesebb kezelési alkalom szükséges
-
Megfizethetőbb, mint a hagyományos implantátumok
Hogyan zajlik a kezelés?
Az Ilyés Dental orvosai a legkényelmesebb fogászati élmény megteremtésére specializálódtak, és segítenek megtalálni a legjobb megoldást a fogaid számára.
Klinikánkon a legmagasabb színvonalú kezeléseket nyújtjuk, precíz szakértelemmel és személyre szabott megoldásokkal:
A kortikobazális fogászati implantációs műtét árai
| Megnevezés | Ár |
|---|---|
| Fogászati implantátumok | 2.300 RON-tól |
| Állkapocs / állkapocs rehabilitáció – implantációs protézisek (8–10 implantátum + ideiglenes munkák) | 20.000-30.000 RON |
| All on 4 – 4 implantátum + csavaros ideiglenes munka | 17.500 RON |
| Minden 6 – 6 implantátumon + felcsavarozható ideiglenes munka | 20.000 RON |
| Részleges egyénre szabott implantátum + ideiglenes munka | 24.500 RON |
| Egyedi implantátum / ív + ideiglenes munka | 49.000 RON |
| PMMA korona implantátumon | 190 RON |
| Fémkerámia korona implantátumon | 770 RON |
| E-Max teljes kerámia korona vagy cirkónia implantátumon | 1.200 RON |
| Csontpótlás (beleértve a csont + membrán bioanyagokat is) | 1.400 RON-tól |
| Sinus lift crestal (beleértve a bioanyagokat) | 1.500 RON-tól |
| Oldalsó orrmelléküreg-felvarrás (tartalmazza a bioanyagokat – csont + membrán) | 2.500 RON-tól |








