
Foglalj időpontot
2015 óta
a szakmában
teljes körű
fogászati
szolgáltatások
kényelmes,
fájdalommentes élmények

Az Ilyés Dental
a fogorvosok szakterülete:
szakosodott csapata a legmodernebb technológiákat alkalmazza egy professzionális és barátságos környezetben.
Minden páciensünknek személyre szabott kezelési tervet dolgozunk ki, amely segít elérni a céljaidat:
erős, tartós fogak, amelyekkel újra egészségesen és magabiztosan mosolyoghatsz.


hatékony és gyors beavatkozások bármilyen fogászati probléma megoldására valamint a szövődmények kockázatának minimalizálására.

csapatunk segít megmenteni a természetes fogaidat, és a kezelések eredményeként megszűnnek a fogfájdalmaid és javul a közérzeted.

a fogfehérítéstől a megelőző kezeléseken át a foghéjakig minden kezelést vállalunk, hogy a mosolyod egészségesen ragyoghasson!

a hiányzó fogak kényelmes megoldása; laboratóriumunk megfizethető árú rögzített és kivehető fogsorokat készít kielégítve a legspeciálisabb igényeket.

soha nem késő rendbe tetetni fogaidat. Az Ilyés Dental fogszabályozási megoldásai látható eredményeket kínálnak, biztonságban és személyre szabottan.

sosincs túl korán ahhoz, hogy megismerkedj a fogorvossal! Klinikánk gyermekfogorvosa szakértelmével biztosítja, hogy a fogorvosnál tett látogatás mindig egy boldog élmény legyen.

vess véget fogaid lassú romlásának! A parodontológiára szakosodott kollégánk mindent megtesz a tünetek megszüntetése és a fogaid megmentése érdekében.

fedezd fel újra a funkcionális és jól kinéző fogsor élményét. Dr. Ilyés Hunor több mint 10 éves tapasztalattal rendelkezik a hagyományos és noninvazív implantátumok terén. Kezelési terve segítségével mosolyod ismét a régi fényében fog ragyogni.
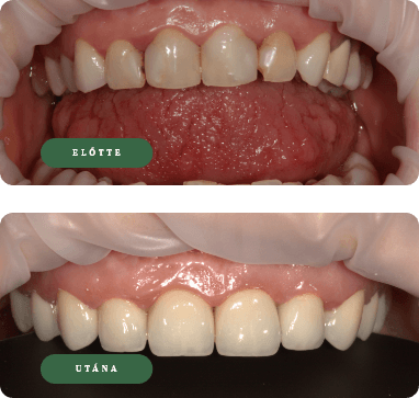
Esetek





Szép és egészséges fogakat szeretnél?
Tedd meg az első lépést most, és foglalj időpontot az első konzultációjára az Ilyés Dental klinikán. Minden szakértelmünkkel azon dolgozunk, hogy fogaid egészségesek legyenek és jól nézzenek ki.
Hívj minket telefonon, írj az alábbi űrlapon keresztül, vagy keress fel minket személyesen a csíkszeredai klinikánkban!
Hétfő – péntek:
08:00 – 20:00
Szombat – vasárnap:
zárva